Una muela picada es un problema dental muy común que puede afectar a personas de todas las edades. Aunque al principio puede pasar desapercibida, si no se trata a tiempo puede derivar en dolor intenso, infecciones e incluso la pérdida de la pieza dental. En Clinac Dental, centro dental en Parla, te explicamos cómo identificarla y qué soluciones existen.
¿Qué es una muela picada?
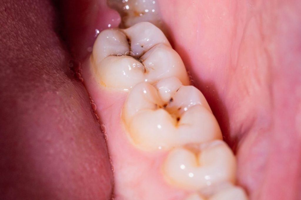
Una muela picada es una pieza dental afectada por una caries, es decir, una destrucción del esmalte provocada por bacterias que generan ácidos al alimentarse de azúcares. Con el tiempo, esta lesión puede avanzar hacia capas más profundas del diente.
Síntomas de una muela picada
Detectar una muela picada a tiempo es clave para evitar complicaciones. Estos son los síntomas más frecuentes:
- Dolor dental, especialmente al masticar
- Sensibilidad al frío, calor o alimentos dulces
- Manchas oscuras o puntos negros en la muela
- Mal aliento persistente
- Inflamación de encías cercanas
- Agujero visible en el diente en fases más avanzadas
En algunos casos, las caries iniciales pueden no presentar síntomas, por lo que las revisiones periódicas son fundamentales.
¿Por qué aparece una muela picada?
Las principales causas de la aparición de caries incluyen:
- Higiene bucodental insuficiente
- Consumo frecuente de azúcares y bebidas ácidas
- Acumulación de placa bacteriana
- Falta de revisiones dentales
- Sequedad bucal o baja producción de saliva
Soluciones para una muela picada
El tratamiento dependerá del grado de avance de la caries. Estas son las soluciones más habituales:
1. Empaste dental
Es el tratamiento más común cuando la caries está en una fase inicial o moderada. Consiste en eliminar el tejido dañado y rellenar el diente con un material restaurador.
2. Endodoncia
Cuando la caries ha llegado al nervio del diente, es necesario realizar una endodoncia (tratamiento de conductos) para eliminar la infección y conservar la pieza.
3. Corona dental
En casos donde la estructura del diente está muy dañada, se coloca una corona para protegerlo y devolverle su funcionalidad.
4. Extracción dental
Si la muela está muy deteriorada y no se puede salvar, será necesario extraerla y valorar opciones como implantes o prótesis.
En Clinac Dental valoramos cada caso de forma personalizada para aplicar el tratamiento más adecuado.
¿Qué pasa si no se trata?
Ignorar una muela picada puede tener consecuencias importantes:
- Dolor intenso y continuo
- Infecciones o abscesos
- Pérdida del diente
- Problemas al masticar
- Afectación a otras piezas dentales
Por eso, es fundamental acudir al dentista ante cualquier síntoma.
Cómo prevenir una muela picada
La prevención es la mejor herramienta para evitar las caries:
- Cepíllate los dientes al menos dos veces al día
- Usa hilo dental diariamente
- Reduce el consumo de azúcares
- Realiza limpiezas dentales periódicas
- Acude a revisiones regulares
En resumen
Una muela picada es un problema frecuente pero tratable si se detecta a tiempo. Prestar atención a los síntomas y acudir al dentista cuanto antes puede marcar la diferencia entre un tratamiento sencillo y uno más complejo.
Si sospechas que puedes tener una muela picada, en Clinac Dental, centro dental en Parla, te asesoramos y te ofrecemos la mejor solución para cuidar tu salud bucodental.

